CH
CD Antibodies
CD363
All
ELISA
FCM
IHC
IHC
  • CatalogTD-31546
  • ClonalitymAb
  • Application WB, IHC, FCM
  • SynonymsS1PR1; EDG1; S1P1; ECGF1; EDG-1; CHEDG1; D1S3362
  • Specification
    100ul 50ul
  • Prices
    ¥2180
Customized service consulting

Mouse Monoclonal Antibody to CD363


Description
The protein encoded by this gene is structurally similar to G protein-coupled receptors and is highly expressed in endothelial cells. It binds the ligand sphingosine-1-phosphate with high affinity and high specificity, and suggested to be involved in the processes that regulate the differentiation of endothelial cells. Activation of this receptor induces cell-cell adhesion. Alternative splicing results in multiple transcript variants.
 
Specification
Aliases S1PR1; EDG1; S1P1; ECGF1; EDG-1; CHEDG1; D1S3362
Entrez GeneID 1901
Swissprot P21453
clone 8E4H5
WB Predicted band size 42.8kDa
Host/Isotype Mouse IgG2a
Antibody Type Primary antibody
Storage Store at 4°C short term. Aliquot and store at -20°C long term. Avoid freeze/thaw cycles.
Species Reactivity Human
Immunogen Purified recombinant fragment of human CD363 expressed in E. Coli.
Formulation Purified antibody in PBS with 0.05% sodium azide
Application
WB 1/500 - 1/2000
IHC 1/200 - 1/1000
FCM 1/200 - 1/400
ELISA 1/10000
Product Image
TD-315461.jpg
Black line: Control Antigen (100 ng);Purple line: Antigen (10ng); Blue line: Antigen (50 ng); Red line:Antigen (100 ng)
TD-315462.jpg
Flow cytometric analysis of HL-60 cells using CD363 mouse mAb (green) and negative control (red).
 
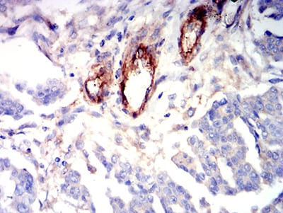
TD-315463.jpg
Immunohistochemical analysis of paraffin-embedded human cervical cancer tissues using CD363 mouse mAb with DAB staining.
TD-315464.jpg
Immunohistochemical analysis of paraffin-embedded human ovarian cancer tissues using CD363 mouse mAb with DAB staining.