CH
CD Antibodies
CD298
All
ELISA
FCM
IHC
IHC
  • CatalogTD-32026
  • ClonalitymAb
  • Application IHC, FCM
  • SynonymsMouse Monoclonal Antibody to CD298
  • Specification
    100ul 50ul
  • Prices
    ¥2180
Customized service consulting

Mouse Monoclonal Antibody to CD298


Description
The protein encoded by this gene belongs to the family of Na+/K+ and H+/K+ ATPases beta chain proteins, and to the subfamily of Na+/K+ -ATPases. Na+/K+ -ATPase is an integral membrane protein responsible for establishing and maintaining the electrochemical gradients of Na and K ions across the plasma membrane. These gradients are essential for osmoregulation, for sodium-coupled transport of a variety of organic and inorganic molecules, and for electrical excitability of nerve and muscle. This enzyme is composed of two subunits, a large catalytic subunit (alpha) and a smaller glycoprotein subunit (beta). The beta subunit regulates, through assembly of alpha/beta heterodimers, the number of sodium pumps transported to the plasma membrane. The glycoprotein subunit of Na+/K+ -ATPase is encoded by multiple genes. This gene encodes a beta 3 subunit. This gene encodes a beta 3 subunit. A pseudogene exists for this gene, and it is located on chromosome 2.
 
Specification
Aliases ATP1B3; ATPB-3
Entrez GeneID 483
Swissprot P54709
clone 2B3G10
WB Predicted band size 31.5kDa
Host/Isotype Mouse IgG1
Antibody Type Primary antibody
Storage Store at 4°C short term. Aliquot and store at -20°C long term. Avoid freeze/thaw cycles.
Species Reactivity Human
Immunogen Purified recombinant fragment of human CD298 (AA: extra 57-279) expressed in E. Coli.
Formulation Purified antibody in PBS with 0.05% sodium azide
Application
IHC 1/200 - 1/1000
FCM 1/200 - 1/400
ELISA 1/10000
Product Image
TD-320261.jpg
Black line: Control Antigen (100 ng);Purple line: Antigen (10ng); Blue line: Antigen (50 ng); Red line:Antigen (100 ng)
TD-320262.jpg
Flow cytometric analysis of THP-1 cells using CD298 mouse mAb (green) and negative control (red)
 
TD-320263.jpg
Immunohistochemical analysis of paraffin-embedded human lung cancer tissues using CD298 mouse mAb with DAB staining.
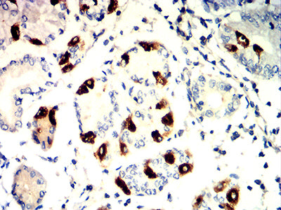
TD-320264.jpg
Immunohistochemical analysis of paraffin-embedded human stomach tissues using CD298 mouse mAb with DAB staining.