CH
CD Antibodies
Mouse Monoclonal Antibody to CD163
All
ELISA
WB
FCM
IHC
  • CatalogTD-31803
  • ClonalitymAb
  • Application WB, IHC, FCM
  • SynonymsM130; MM130; SCARI1
  • Specification
    100ul 50ul
  • Prices
    ¥2180
Customized service consulting

Mouse Monoclonal Antibody to CD163


Description
The protein encoded by this gene is a member of the scavenger receptor cysteine-rich (SRCR) superfamily, and is exclusively expressed in monocytes and macrophages. It functions as an acute phase-regulated receptor involved in the clearance and endocytosis of hemoglobin/haptoglobin complexes by macrophages, and may thereby protect tissues from free hemoglobin-mediated oxidative damage. This protein may also function as an innate immune sensor for bacteria and inducer of local inflammation. Alternatively spliced transcript variants encoding different isoforms have been described for this gene.
Specification
Aliases M130; MM130; SCARI1
Entrez GeneID 9332
Swissprot Q86VB7
clone 7G5E2
WB Predicted band size 125.4kDa
Host/Isotype Mouse IgG1
Antibody Type Primary antibody
Storage Store at 4°C short term. Aliquot and store at -20°C long term. Avoid freeze/thaw cycles.
Species Reactivity Human,Mouse,Rat,Rabbit,Monkey
Immunogen Purified recombinant fragment of human CD163 (AA: extra 42-259) expressed in E. Coli.
Formulation Purified antibody in PBS with 0.05% sodium azide
Application
WB 1/500 - 1/2000
IHC 1/200 - 1/1000
FCM  1/200 - 1/400
ELISA 1/10000
Product Image

TD-318031.jpg

 

 

TD-318032.jpg

 

TD-318033.jpg

 

Black line: Control Antigen (100 ng);Purple line: Antigen (10ng); Blue line: Antigen (50 ng); Red line:Antigen (100 ng) Western blot analysis using CD163 mouse mAb against Raw264.7 (1), NIH/3T3 (2), and HL-60 (3) cell lysate.

Western blot analysis using CD163 mouse mAb against PC-12(1),Raw264.7(2),NIH/3T3(3),NRK(4),C2C12(5),C6(6),L1210(7),F9(8),CHO3D10(9) cell lysate.

TD-318034.png

 

TD-318035.png

 

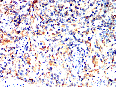
TD-318036.jpg

 
Flow cytometric analysis of COS7 cells using CD163 mouse mAb (green) and negative control (red). Flow cytometric analysis of C6 cells using CD163 mouse mAb (green) and negative control (red). Immunohistochemical analysis of paraffin-embedded human rectum cancer tissues using CD163 mouse mAb with DAB staining.

TD-318037.jpg

 

TD-318038.jpg

 

TD-318039.jpg

 
Immunohistochemical analysis of paraffin-embedded Mouse spleen using CD163 mouse mAb with DAB staining. Immunohistochemical analysis of paraffin-embedded Rat spleen using CD163 mouse mAb with DAB staining. Immunohistochemical analysis of paraffin-embedded Rabbit spleen using CD163 mouse mAb with DAB staining.