CH
CD Antibodies
Mouse Monoclonal Antibody to CD99
All
ELISA
WB
IF
FCM
IHC
  • CatalogTD-31946
  • ClonalitymAb
  • Application FCM, IHC, WB, IF
  • SynonymsMIC2; HBA71; MIC2X; MIC2Y; MSK5X
  • Specification
    100ul 50ul
  • Prices
    ¥2180
Customized service consulting
Mouse Monoclonal Antibody to CD99
Description
The protein encoded by this gene is a cell surface glycoprotein involved in leukocyte migration, T-cell adhesion, ganglioside GM1 and transmembrane protein transport, and T-cell death by a caspase-independent pathway. In addition, the encoded protein may have the ability to rearrange the actin cytoskeleton and may also act as an oncosuppressor in osteosarcoma. This gene is found in the pseudoautosomal region of chromosomes X and Y and escapes X-chromosome inactivation. There is a related pseudogene located immediately adjacent to this locus.
Specification
Aliases MIC2; HBA71; MIC2X; MIC2Y; MSK5X
Entrez GeneID 4267
Swissprot P14209 
clone 7E11C4
WB  Predicted band size 18.8kDa
Host/Isotype Mouse IgG1
Antibody Type Primary antibody
Storage Store at 4°C short term. Aliquot and store at -20°C long term. Avoid freeze/thaw cycles.
Species Reactivity Human
Immunogen Purified recombinant fragment of human CD99 (AA: 1-185) expressed in E. Coli.
Formulation Purified antibody in PBS with 0.05% sodium azide
Application
WB 1/500 - 1/2000
IHC 1/200-1/1000
IF 1/200 - 1/1000
FCM 1/200-1/400
ELISA 1/10000
Product Image
TD-319461.jpg
Black line: Control Antigen (100 ng);Purple line: Antigen (10ng); Blue line: Antigen (50 ng); Red line: Antigen (100 ng)
TD-319462.jpg
Western blot analysis using CD99 mouse mAb against THP-1 (1), U937 (2), and MOLT4 (3) cell lysate.
TD-319466.jpg
Immunofluorescence analysis of Hela cells using CD99 mouse mAb (green). Blue: DRAQ5 fluorescent DNA dye. Red: Actin filaments have been labeled with Alexa Fluor- 555 phalloidin. Secondary antibody from Fisher (Cat#: 35503)
TD-319463.jpg
Flow cytometric analysis of Jurkat cells using CD99 mouse mAb (green) and negative control (red).
TD-319464.jpg
Immunohistochemical analysis of paraffin-embedded human ewing sarcoma tissues using CD99 mouse mAb with DAB staining.
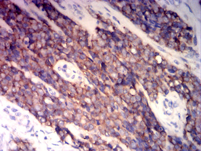
TD-319465.jpg
Immunohistochemical analysis of paraffin-embedded human bladder cancer tissues using CD99 mouse mAb with DAB staining.